AKTUELLES

Zahnröntgen

Neuraltherapie

Zecken

Myxomatose bei Kaninchen

Altersvorsorge

Würmer bei Hund und Katze

Reisen mit Hund und Katze

Blutdruck bei der Katze (Hypertonie)
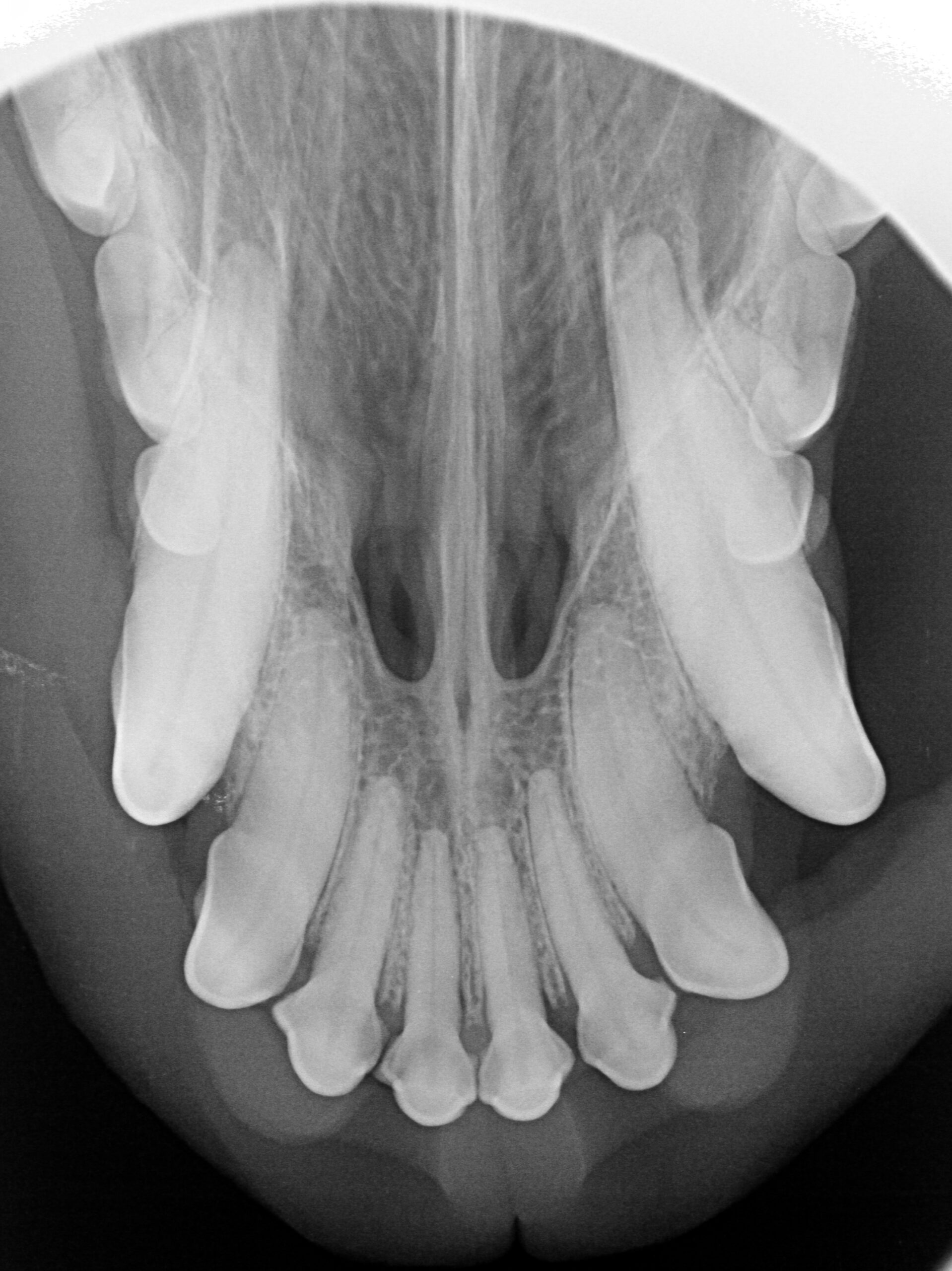
ZAHNRÖNTGEN
Seit Anfang 2025 zählt neben einer Zahnstation auch ein hochmodernes Zahnröntgen zu unserer Praxisausstattung. Mit dieser Technik können wir präzise Aufnahmen der Zähne und des Kiefers anfertigen, um verborgene Probleme zu erkennen, die mit bloßem Auge nicht sichtbar sind. Das ermöglicht eine umfassende und schonende Zahnbehandlung, die gezielt auf die Bedürfnisse Ihres Tieres abgestimmt ist.
Wir bieten Zahnsteinentfernung/Zahnsanierung mit oder ohne Zahnextraktion an. Nach der Reinigung werden die Zähne poliert. Dazu wird Polierpaste auf einen rotierenden Gummi aufgetragen. Das Polieren glättet die Zahnoberfläche, wodurch Bakterien weniger gut anhaften können.
Gesunde Zähne tragen maßgeblich zum Wohlbefinden und zur Lebensqualität Ihres Vierbeiners bei. Gerne beraten wir Sie ausführlich zur Zahngesundheit.
NEURALTHERAPIE
Bei vielen Hunden mit akuten oder chronischen Rückenproblemen wenden wir die Therapeutische Lokalanästhesie an. Dabei werden gereizte Nervenwurzeln, meist im Bereich der Lendenwirbelsäule, mit einem Lokalanästhetikum gezielt infiltriert.
Durch diese feinen Injektionen werden schmerzende Nervenreflexe kurzfristig unterbrochen. Das hilft dem Körper, Spannungen abzubauen und seine Selbstregulation wiederherzustellen.
Wir wenden diese Methode in unserer Praxis besonders bei Rückenschmerzen, Bewegungseinschränkungen und chronischer Verspannung an.
ZECKEN
Zecken sind in Österreich mittlerweile das ganze Jahr über aktiv und übertragen immer mehr gefährliche Krankheiten wie Babesiose, Ehrlichiose und Anaplasmose. Früher galten diese als Reisekrankheiten, heute sind sie auch bei uns heimisch. Verschiedene Zeckenarten können unterschiedliche Krankheitserreger übertragen, die schwere Symptome bis hin zu lebensbedrohlichen Erkrankungen verursachen.
Eine genaue Diagnose mittels Blutuntersuchung ist wichtig, wenn der Verdacht einer vektorübertragenen Erkrankung gegeben ist, da sich die Behandlung je nach Erreger unterscheidet. Um Ihr Haustier vor Zecken zu schützen, werden Wirkstoffe kombiniert, die sowohl Zecken abtöten als auch abwehren. Wir empfehlen außerdem tägliche Kontrollen und schnelles Entfernen der Zecken.
Sprechen Sie uns an – wir beraten Sie gerne zum besten Schutz für Ihr Tier.
MYXOMATOSE BEI KANINCHEN
Myxomatose ist eine ernsthafte Virusinfektion, die sowohl Wild- als auch Hauskaninchen bedroht. Übertragen wird das Virus hauptsächlich durch stechende Insekten, aber auch indirekt über Menschen, Kleidung oder kontaminierte Pflanzen. Die Krankheit äußert sich durch Schwellungen im Kopfbereich, Fieber und Appetitlosigkeit und verläuft oft tödlich.
Das Virus bleibt in der Umwelt bis zu sieben Monate infektiös. Eine Heilung gibt es nicht, daher ist die Vorbeugung entscheidend. Eine jährliche Impfung mit Myxo-RHD, die nicht nur gegen Myxomatose, sondern auch gegen die RHD (Rabbit Haemorrhagic Disease oder Chinaseuche) schützt Ihr Kaninchen. Der Impfschutz setzt nach drei Wochen ein und sollte jährlich aufgefrischt werden, besonders bei Kaninchen mit Außenhaltung oder Wildkontakt.
Bei Fragen beraten wir Sie gern.
ALTERSVORSORGE
Ein geriatrischer Check bei Hunden und Katzen ist wichtig, um altersbedingte Krankheiten frühzeitig zu erkennen und die Lebensqualität zu erhalten. Dabei werden Anamnese und allgemeine körperliche Untersuchungen durchgeführt, einschließlich Herz, Lunge, Haut, Fell, Augen, Ohren, Zähne und Bewegungsapparat. Laboruntersuchungen wie Blutbild, Blutchemie und Urinanalysen geben Aufschluss über innere Organe und Stoffwechsel.
Je nach Bedarf folgen Blutdruckmessung, Ultraschall oder Röntgen. Außerdem beraten wir zu Ernährung und Zahnhygiene. Ab einem Alter von etwa 6 bis 7 Jahren empfehlen wir jährliche Vorsorgeuntersuchungen um Beschwerden früh zu erkennen und rechtzeitig zu behandeln.
WÜRMER BEI HUND UND KATZE
Wurmbefall gehört zu den häufigsten parasitären Erkrankungen bei Hunden und Katzen. Viele Tiere zeigen zunächst keine Symptome, können jedoch bereits Wurmeier ausscheiden und so andere Tiere sowie auch Menschen anstecken. Zu den häufigsten Wurmarten zählen Spulwürmer (Toxocara spp.). Diese sind insbesondere bei Welpen und Jungtieren weit verbreitet. Mögliche Symptome sind Bauchschmerzen, Durchfall, Erbrechen, Gewichtsverlust, Juckreiz am After sowie ein aufgeblähter Bauch.
Die Übertragung erfolgt durch die Aufnahme von Eiern aus der Umwelt (z. B. über Kot oder kontaminierte Erde) oder durch den Verzehr infizierter Zwischenwirte wie Mäuse oder Vögel. Welpen können sich außerdem über die Muttermilch anstecken. Bandwürmer werden auch durch das Verschlucken infizierter Flöhe übertragen, etwa beim Putzen des Fells.
Zusätzlich kommen auch Haken-, Peitsch-, Herz- und Lungenwürmer vor. Die Diagnose erfolgt durch eine Kotuntersuchung (Sammelprobe), da nicht alle Wurmarten mit bloßem Auge erkennbar sind. Die Behandlung besteht aus speziellen Wurmkuren, die je nach Wurmart und Lebenssituation des Tieres regelmäßig wiederholt werden müssen.
Kontaktieren Sie uns für eine gezielte Parasitenprophylaxe.
REISEN MIT HUND UND KATZE
Wenn Sie mit Ihrem Hund oder Ihrer Katze ins Ausland reisen möchten, sollten Sie sich frühzeitig über die Einreisebestimmungen des Ziellandes informieren. Je nach Land geltenunterschiedliche Vorschriften, um Ihr Tier und andere vor ansteckenden Krankheiten, insbesondere der Tollwut, zu schützen.
Für Reisen innerhalb der EU benötigen Hunde und Katzen einen Mikrochip, einen EU-Heimtierausweis, sowie eine gültige Tollwutimpfung. Die Impfung muss mindestens 21
Tage vor der Ausreise erfolgt sein und darf bei Auffrischungen nicht abgelaufen sein. Bei Reisen außerhalb der EU oder bei der Wiedereinreise in die EU kann zusätzlich ein Tollwut-Antikörpertest (Tollwut-Titertest) erforderlich sein. Dieser muss rechtzeitig, meist mehrere Wochen vor der Abreise, in einem anerkannten Labor durchgeführt werden. Die Blutabnahme darf auch erst 30 Tagen nach einer Tollwut Impfung erfolgen.
Wir beraten Sie gerne individuell, welche Impfungen, Parasitenprophylaxen oder Gesundheitsbescheinigungen Ihr Tier für das jeweilige Reiseziel benötigt. So starten Sie und Ihr Vierbeiner gut vorbereitet in den Urlaub. Vereinbaren Sie rechtzeitig einen Termin, damit alle notwendigen Maßnahmen fristgerecht durchgeführt werden können.
ERHÖHTER BLUTDRUCK BEI DER KATZE (HYPERTONIE)
Ein erhöhter Blutdruck (Hypertonie) ist eine häufige, jedoch oft unerkannte Erkrankung bei älteren Katzen. Meist tritt sie sekundär als Folge anderer Krankheiten auf, vor allem bei einer chronischen Niereninsuffizienz oder einer Schilddrüsenüberfunktion.
Ein dauerhaft zu hoher Blutdruck belastet den gesamten Organismus. Die feinen Blutgefäße in der Netzhaut können reißen und zu einer plötzlichen Erblindung führen. Auch das Herz wird in Mitleidenschaft gezogen, da es gegen den erhöhten Druck arbeiten muss. Dadurch verdickt sich der Herzmuskel (Herzhypertrophie) und die Herzleistung nimmt ab. Zusätzlich können Nieren und Gehirn geschädigt werden.
Typische Anzeichen, die auf Bluthochdruck hinweisen können, sind: erweiterte Pupillen, plötzliche Erblindung, Veränderungen im Verhalten, vermehrtes Trinken und Urinieren oder allgemeine Schwäche. Oft bleiben diese Symptome jedoch lange unbemerkt, da Katzensehr gut darin sind, Krankheiten zu verbergen.
Die Diagnose erfolgt durch eine einfache, schmerzfreie Blutdruckmessung am Vorderbein oder Schwanz, die nur wenige Minuten dauert. Wird ein erhöhter Wert festgestellt, kann die Grunderkrankung erforscht werden.
Wir empfehlen, bei Katzen ab 6–8 Jahren im Rahmen des Gesundheitschecks regelmäßig den Blutdruck zu kontrollieren. So lassen sich Folgeschäden vermeiden und die Lebensqualität Ihrer Katze kann langfristig erhalten werden.


